直播回顾丨多挡开关“举一反三” 物理金课拆解中考电学“万能四步法”
智启光明新“视”代!山东省公立医院第一批全飞秒SMILE pro手术成功完成!
临沂兰山特校开展清明祭英烈活动
春风寄怀祭忠魂 阳澄湖畔慰英烈
张雪机车夺冠了,师傅正忙着造飞机:“订单都有了”
莒南县文疃中学开展森林防火安全教育活动
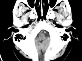
45年顽疾终得解!平邑县人民医院成功为先天性脑膜脑膨出患者解除困扰
万亩梨花开