两会第一观察|两场团组活动,一份民生关切
第一站:守护“两司两员”钱袋子,金融消保公益市集走进前滩户外职工驿站
男子带2300万日元现钞出境未申报,被海关拦截
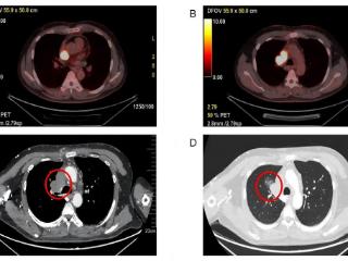
罕见!巨大肿瘤如藤蔓般长进心脏 苏大附二院完成超高难度心-肺部联合手术为患者架起新生之桥
走出精彩,步步生花!她们绽放最美芳华
兴化农商银行:非遗传古韵 金融暖乡邻
速愈素:化疗后白细胞低、体重降怎么办?
聚焦米兰冬残奥会|一双眼睛,带着两个梦想飞驰