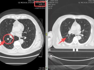
两周消融肺结节——淄博世博高新医院射波刀“精准狙击”守护肺部健康
李玲获批担任中国人民财产保险股份有限公司董事
中信银行上海崇明支行正式开业
部分地区大雪、局地暴雪!雨雪天气将影响安徽全省
中国民生银行南京分行因国内信用证业务贸易背景审核不到位等被罚款70万元
视频 | 纵览名师讲堂 陪你安心赢战中考
精管善治,六合区持续推进垃圾分类提质增效
喜报!烟台高新区企业入选省级十大科技创新成果