新技术!一网打尽肺动脉内致命血栓,北京大学人民医院青岛医院血管外科用上“新武器”
80岁王汝南:已告知聂卫平家人,追悼会日程确定后立即回京送他最后一程
济宁“五链融合”助力产业发展,为构建具有济宁特色的现代化产业体系提供坚实支撑
减肥药开年掀起价格战,国内减肥相关专利已超1.4万项
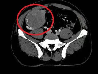
多学科协作攻坚克难 北京大学人民医院青岛医院成功摘除患者腹腔12cm腹膜后肿瘤
老赖谎称资不抵债,却打赏主播10万元
郎庄面塑里的传承守望
雄安建设者拍雄安|“零距离”体验现代警务