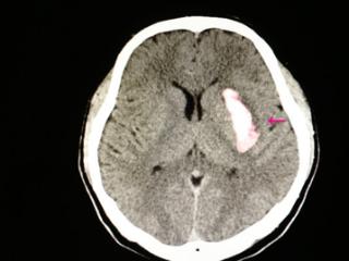
寒冬防病不松懈!平度市第三人民医院放射科提醒:这些高发疾病,重点警惕别大意
2026-01-27
鲁网
热门推荐
推荐




