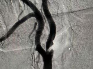
技术突破!青岛西海岸第二院脑血管病科成功开展山东省内首例 “应用IVUS指导下精准颈动脉狭窄介入治疗”
《宁好北岸》创刊,助力南京大江北文化大发展!
打破壁垒!国家重点研发计划成果“下沉”职教课堂
以舞为媒传文脉:果洛•玛沁原创舞剧《雪山大地》巡演即将启幕
体彩公益活动:暖冬运动季,反诈不缺席
石家庄市“四季村晚”节目展演走进元氏县
官方:稳定币存在被用于洗钱等非法活动风险
市领导会见恒瑞医药客人